A smile is a curve that sets everything straight. – Phyllis Diller
It’s more than beauty, it’s confidence and health. Changing smiles is our job, but improving lives is our passion at Emerson Orthodontics. Below are photos and testimonials from just a few of our patients.


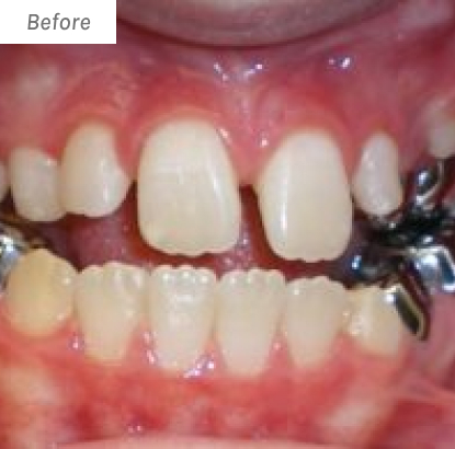
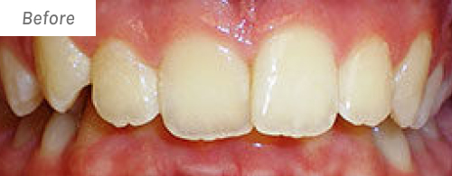
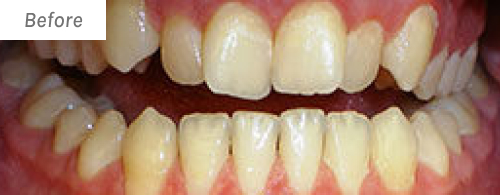
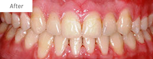
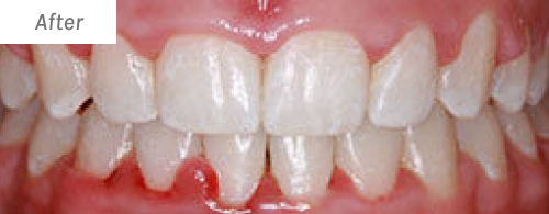
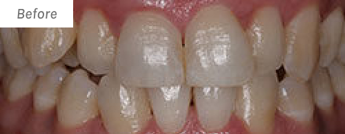
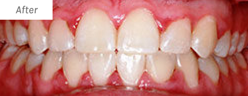
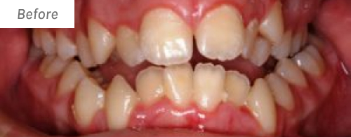
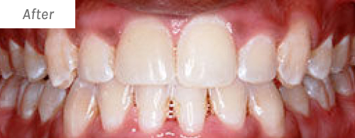
A Magical Transformation
- Cindy O. (Full Appliances: 14 months of treatment)
I’m so glad I came to Dr. Emerson. He changed my look and my smile. I am very happy because I now can smile however I want and laugh in front of people. I am so proud of Dr. Emerson and the job he did for me. I thought the gap in my teeth would not close but he did it! It wasn’t magic, but just following Dr. Emerson’s instructions.


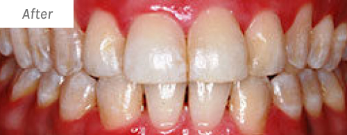
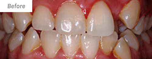
Life Changing Care
- Haileigh
Dr. Emerson and his staff have provided me with wonderful care. I have had a lifetime fear of dental care but they are so compassionate and work with me. I am almost done with my braces and my teeth look better than I could have ever dreamed. Talented, caring, fun and always on time!
Excellent Care for a Lifetime Smile!
- Riley
"I’ve been taking my 1st child here since 2007 when their Broken Arrow office started to open. I’ve never had a bad experience. Everyone takes excellent care of the patient and/or the parents. GREAT service all around! Definitely worth the hour drive to get there. Very fortunate to be able to take my kids to such a great place. My 2nd kiddo will have her consultation in a month. NEVER had a bad experience in the 6 years and that says a lot!"




McKenzie


Shiann


Marguerite


Sarah


Chloe


Sarah


Eden


Emily


Hannah


Mike


Lauren


Tim


Tammy


Monica


Julie


Chris


Carl
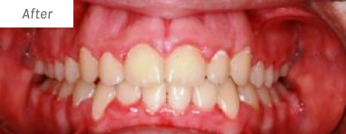
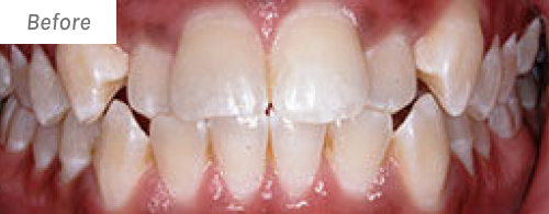
Real Patient Experiences, Real Results

People love us on google


